TEL
MAP

精度は高く、確実に。


ルーシー歯科の基本治療の事例を紹介します。

当クリニックの基本治療


閲覧注意:以下、リアリティを伝えるため、虫歯の画像が現れます。

point 1

虫歯を取り残さない。

症例1

治療前の状態です。金属の詰め物が入っています。

金属を除去すると茶色の虫歯があるのがわかります。

症例2

治療前です。

茶色の虫歯が見えます。

齲蝕検知液で染め出します。

赤く染まった部分が虫歯です。

完全に取り除きました。


point 2


根管治療(根の治療)を
確実に成功させる。

症例1

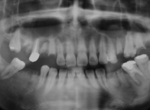
初診時のレントゲン写真。

治療後2年経過。根の先の黒い影が消えています。


point 3


口の中全体を確実に治す。

症例1

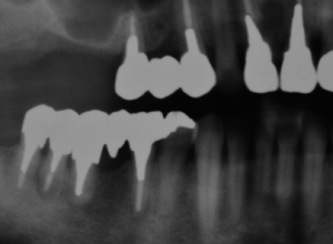
初診時のレントゲン写真。

治療後3年経過。適切な根管治療を行い、咬み合わせを再構築しました。

PAGE TOP
TEL
MAP